

- Inicio
-
Destacados
- La Bistecca
- Todo Cines: Cineplanet, Cinemark
- Parques Inflables
- Halloween
- Juegos Infantiles
- Piscinas
- Juegos Mecánicos
- Buffets Almuerzos
- Barra Libre de Makis
- Sushi , Makis y Open Rolls
- Carnes y Parrillas
- Karting / karts
- Exámenes Médicos Para Brevetes
- Revisión Técnica Vehicular (FARENET)
- Eventos y Shows
- Teatros
-
Entretenimiento
- Actividades Deportivas (2)
- Actividades Familiares (36)
- Actividades Para Niños (23)
- Cines (4)
- Circos (2)
- City Tours y Visitas Guiadas (4)
- Conciertos (6)
- Eventos y Shows (9)
- Fiestas (3)
- Halloween (11)
- Halloween Adultos (5)
- Halloween Niños (2)
- Juegos Infantiles (13)
- Juegos Mecánicos (7)
- Karaoke (2)
- Karts (6)
- Parapente (3)
- Parque Acuático Inflable (3)
- Parques Inflables (8)
- Piscinas (11)
- Pista de Patinaje (3)
- Stand Up (2)
- Teatro (14)
-
Restaurantes
- Anticuchos (6)
- Barra Libre (20)
- Barra Libre Alitas (8)
- Barra Libre Makis (10)
- Barra Libre Pizzas y Pastas (2)
- Buffets (31)
- Buffets Almuerzos (19)
- Buffets Cenas (1)
- Buffets Desayunos (11)
- Caldos y Sopas (7)
- Carnes y Parrillas (16)
- Chifas (3)
- Coffee & Postres (11)
- Comida Peruana (23)
- Makis, Sushi y Open Roll (24)
- Pescados y Mariscos (15)
- Piqueos & Bar (20)
- Pizzas y Pastas (10)
- Platos a la Carta (14)
- Pollerias (16)
- Sánguches & Salchipapas (5)
-
Servicios
- Automotriz (16)
- Clases de Manejo (4)
- Cursos y Talleres (4)
- Detalles y Regalos (8)
- Examen medico para brevetes (17)
- Fotografía (10)
- Hogar (13)
- Lavado de Alfombras (3)
- Lavado de Colchones (4)
- Lavado de Muebles (6)
- Lavado Muebles y Colchones (1)
- Lavado Vehicular (11)
- Mascotas (9)
- Noche Romántica (3)
- Otros Servicios (19)
-
Viajes
-
Belleza
-
Productos
-
Salud








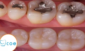
COE Odontología Especializada
Desde S/ 49.90 por cambio de amalgama por resinas + fluorización + odontograma + consulta integral ¡Luce unos dientes sanos y sonrisa perfecta con COE Odontología ESpecializada!
- Si tienes dudas en el proceso de compra escríbenos por WhatsApp al número +51 997 580 793 o ingresa aquí
- Puedes ver y/o descargar tus cupones (en formato pdf) en la sección "Mis Cupones" (parte superior derecha). Puedes ver tus cupones en la sección "Mis Cupones" (parte inferior derecha).
- 3 cuotas sin intereses pagando con tu tarjeta de crédito BCP (solo Visa); crédito BBVA (Visa y Mastercard) y Dinners; crédito Interbank (Visa y Amex) excepto empresariales y rappibank.
Recupera una sonrisa saludable con COE Odontología Especializada, desaparece de tu sonrisa esas horribles y anticuadas amalgamas y vuelve a sonreír y reír sin problemas.
En esta promoción te traemos:
- Evaluación diagnóstica: Se abrirá una historia clínica para el paciente y se le hará recomendaciones según su evaluación.
- Odontograma: Consiste en el registro en papel el estado de tu dentadura a partir de una exploración completa en la boca. El médico podrá hacer un diagnóstico 100% acertado y sabrá qué tratamientos necesitarás y te dará el mejor consejo según lo que necesites.
Cuentan con un acogedor local que te hará sentir como en casa.
Cambio de amalgamas por resinas Bulk
Tienes diversas opciones a elegir:
Todas las opciones incluyen:
Tienes diversas opciones a elegir:
Opción 1: S/ 49.90 por 1 cambio de amalgama por resina capa SIMPLE.
Opción 2: S/ 69.90 por 1 cambio de amalgama por resina capa COMPLEJA.
Opción 3: S/ 79.90 por 2 cambios de amalgama por resina capa SIMPLE.
Opción 4: S/ 129.90 por 2 cambios de amalgama por resina capa COMPLEJA.
Capa Simple: Una superficie
Capa Compleja: dos o tres superficies.
Las premolares o molares tienen 5 caras, oclusal, distal, mesial, vestibular y palatina. Estas superficies se consideran una superficie y hasta dos por cara.
Todas las opciones incluyen:
Odontograma
Fisioterapia bucal
Fluorización.
- Evaluación diagnóstica: Se abrirá una historia clínica para el paciente y se le hará recomendaciones según su evaluación.
- Odontograma: Consiste en el registro en papel el estado de tu dentadura a partir de una exploración completa en la boca. El médico podrá hacer un diagnóstico 100% acertado y sabrá qué tratamientos necesitarás y te dará el mejor consejo según lo que necesites.
- Fluorización: Consiste en la aplicación de flúor gel sobre todas las superficies de los dientes superiores e inferiores con el fin de fortalecer tu dentadura y evitar que se formen caries. Se tiene que aplicar cada 6 meses o según lo que te indique el Odontólogo para lograr el efecto deseado.
Cuentan con un acogedor local que te hará sentir como en casa.
La Empresa
COE Odontología Especializada
Pasaje Los Pinos 190,of 1105 MirafloresTeléfono: 990842022 /912281989
- Cupón válido hasta 30 días calendario después de su compra.
- No válida para acumular promociones, ni válido con otras promociones.
- Compra y regala cuantos quieras.
- Horario de atención: Lunes a viernes de 10:00 a.m. a 8:00 p.m.
- Las reservas se realizarán con 24 hrs de antelación, llamando a los números:990842022 / 912281989 o al correo: dr.alexander.alvarez@gmail.com agregando tu número de Cupón y de REF.
- No se aceptan cancelaciones, ni devoluciones, ni cambio de fecha en las citas.
- Tiempo de tolerancia es de 10 minutos, pasado ese tiempo ya no se atenderá y se considerará cupón atendido sin lugar a reclamos.
- Los tratamientos se realizarán siguiendo el protocolo de atención Ontológico.
- No incluye extracción de dientes, en caso el paciente lo requiera.
- No incluye radiografía panorámica, ni ningún tipo de radiografía.
- No incluye endodoncias ni curaciones complejas.
- Promoción incluye lo indicado en el detalle, cualquier material o procedimiento adicional no está contemplado en la promoción (por ejemplo anestesia, etc.)
- Las fotos presentadas son referenciales.
- No olvides presentar tus cupones al momento de acercarte al establecimiento.
Suscribirme
Suscríbete y recibe las mejores ofertas.
Déjanos tu correo y obtén información exclusiva sobre nuestras ofertas, promociones y más.